



金属に陶材を盛り上げて作られています。通常メタルボンドと呼ばれています
強度に優れ、擦り減らず、透過性があるので自然歯のように見えてとても綺麗です
変色がなく、歯肉に優しい材料です


パラジウム合金のフレームに硬質レジンを盛り上げて作られています
前歯部は保険適用ですが、汚れ、着色が付着しやすいのが難点です

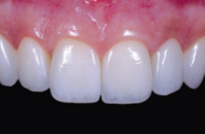
全てセラミック(陶材)で作られているので、金属アレルギーの方でも安心して使えます
汚れや変色がなく、金属を使わないためポーセレン焼き付け冠よりも優れた歯の透明感や歯に近い色の再現が期待できます



Ivoclar Vivadent社e.maxプレスを使用したオールセラミッククラウンです
IPS e.maxプレスはプレステクノロジーのためのニケイ酸リチウムガラスセラミックで500Mpaの強度を誇りながらも同時に適合性の正確性、審美性を兼ね備えています
インゴットは5段階の透明度、2つのサイズがあり、隣接面の色調に合わせ天然歯のように審美的表現が可能です
